Fratura por estresse
FRATURA POR FADIGA OU SÍNDROME DA INSUFICIÊNCIA
A fratura por fadiga é mais comum nos idosos e se caracteriza por uma dor de início súbito, sem estar relacionada a nenhum trauma. Trata-se de uma dor intensa que limita a atividade.
Este quadro se diferencia das causas de dor mais comuns na terceira idade, quais sejam, artrose e desequilíbrio muscular. Nestes casos, a progressão do quadro é lenta e progressiva. No caso do desequilíbrio muscular observa-se que a musculatura anterior da coxa (quadríceps) geralmente encontra-se enfraquecida e os músculos posteriores da coxa apresentam diminuição do alongamento. Com isso, alguns pacientes idosos não conseguem mais estender completamente seus joelhos, causando desconforto ao caminhar.
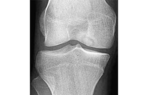
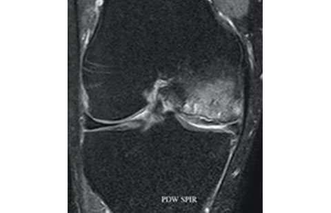
Os exames de imagem são de grande valia para o diagnóstico da fratura por fadiga ou síndrome da insuficiência do joelho. A ressonância é o exame que mais auxilia neste diagnóstico.



O tratamento pode variar desde medidas simples como o uso de bengalas para diminuir a sobrecarga no joelho até cirurgias de artroplastias (próteses). A decisão pelo tipo de tratamento em cada caso depende da extensão do problema.
