Lesões mais comuns
CONDROMALÁCIA
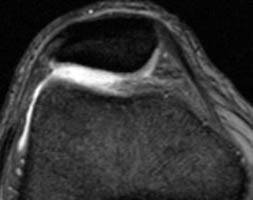
A condromalácia de patela consiste no “amolecimento” da cartilagem da patela.
Trata-se de uma doença com múltiplas causas, ocorrendo mais frequentemente em pessoas que tem predisposição à este tipo de lesão. Ocorre mais frequentemente em mulheres jovens.
O prinicipal sintoma consiste em dor na região anterior do joelho principalmente para descer ou subir escadas ou rampas. Apresenta dor ao ajoelhar e ao levantar de uma cadeira.
A condromalácia pode variar desde amolecimento da cartilagem até uma lesão profunda atingindo toda a espessura da cartilagem da patela.
A cartilagem da patela é espessa com aproximadamente 7mm, sendo a cartilagem mais espessa do corpo humano.
Graduação da Condromalácia:
■ I – amolecimento da cartilagem
■ II – fragmentação de cartilagem ou fissuras (diâmetro < 1,3cm)
■ III – fragmentação ou fissuras (diâmetro > 1,3cm)
■ IV – erosão ou perda completa da cartilagem articular
O tratamento da condromalácia mais frequentemente utilzado é o tratamento não cirúrgico. O tratamento baseia-se em programas específicos de reabilitação associada a uso de medicamentos.
Em lesões que não respondem adequadamente ao tratamento não cirúrgico, necessita-se realização de cirurgia.
As principais modalidades de cirurgia semelhantes àquelas realizadas para o tratamento da cartilagem (veja o artigo “Cartilagem”).
Em alguns casos específicos, além do tratamento para a cartilagem pode ser preciso corrigir os fatores predisponentes para evitar recidiva do problema.





